Dr hab. M. Świat: optymalne leczenie stwardnienia rozsianego hamuje zanik mózgu i pozwala na aktywność zawodową
W czasie dorosłego życia każdego człowieka dochodzi do stopniowego, powolnego zmniejszania się objętości mózgu. Proces ten, nazywany atrofią mózgu, zachodzi znacznie szybciej u pacjentów ze stwardnieniem rozsianym (SM). Na szczęście, wczesne rozpoznanie choroby i włączenie wysoko skutecznego leczenia może hamować proces zanikania mózgu, co potwierdzają obserwacje z praktyki klinicznej lekarzy neurologów. Dzięki temu pacjenci pozostają sprawni, zarówno ruchowo, jak i mentalnie, mogą normalnie funkcjonować i wykonywać pracę zawodową.
Jeszcze do niedawna, w leczeniu stwardnienia rozsianego, koncentrowano się przede wszystkim na zmniejszaniu liczby rzutów tej choroby, redukcji ognisk zapalnych w ośrodkowym układzie nerwowym oraz zachowaniu sprawności fizycznej pacjentów. Obecnie parametrem coraz częściej branym pod uwagę przy ocenie postępu choroby oraz skuteczności leczenia jest także zanik mózgu. Przyspieszone tempo zaniku mózgu jest bowiem wykładnikiem zachodzącej neurodegeneracji, która prowadzi do ubytku funkcji neurologicznych, a co za tym idzie do utraty sprawności fizycznej oraz funkcji poznawczych. Pacjenci skarżą się na problemy z pamięcią, myśleniem i koncentracją, co utrudnia im codzienne funkcjonowanie i wykonywanie pracy zawodowej. Nasilony zanik mózgu sprzyja też przewlekłemu zmęczeniu oraz rozwojowi depresji i generalnie obniża jakość życia pacjentów ze stwardnieniem rozsianym. Kluczowe dla zahamowania procesu atrofii u chorych na SM – podobnie jak dla zapobiegania kolejnym rzutom choroby i postępowi niepełnosprawności fizycznej – jest szybkie rozpoznanie choroby i jak najszybsze rozpoczęcie skutecznego leczenia.
W obowiązującym w Polsce systemie leczenia stwardnienia rozsianego wciąż stosowany jest tzw. model eskalacyjny. Polega on na tym, że pacjentowi po diagnozie SM proponowane jest leczenie tzw. pierwszej linii lekami o umiarkowanej skuteczności. Następnie pacjent jest obserwowany, tzn. wykonywane są u niego regularne badania rezonansowe i neurologiczne, i dopiero jeżeli jego stan pogarsza się, to proponowane jest mu przejście na leczenie lekami wysoko skutecznymi, drugiej linii. Na dodatek, zgodnie z obowiązującymi zapisami programów lekowych, przejście na leczenie drugiej linii jest możliwe dopiero wtedy, gdy u pacjenta wystąpią minimum dwa rzuty choroby w połączeniu z pojawieniem się nowych zmian zapalnych w ośrodkowym układzie nerwowym, widocznych w badaniu z wykorzystaniem rezonansu magnetycznego. W wielu krajach model eskalacyjny leczenia SM nie jest już powszechnie stosowany – zastąpił go model, w którym – jeśli lekarz widzi taką potrzebę – pacjentowi od razu po rozpoznaniu SM oferowane jest leczenie jednym z nowoczesnych leków wysoko skutecznych. Takie postępowanie jest zgodne z zapisami rejestracyjnymi tych leków oraz z rekomendacjami i wytycznymi ekspertów.
Zasadność jak najszybszego włączenia terapii lekiem wysoko skutecznym potwierdzają też doświadczenia lekarzy praktyków, w tym dr. hab. n. med. Macieja Świata z Oddziału Neurologicznego Wojewódzkiego Szpitala Specjalistycznego nr 3 w Rybniku.
„Aby porównać skuteczność modelu eskalacyjnego i indukcyjnego w leczeniu stwardnienia rozsianego, mogę posłużyć się przykładem moich trzech pacjentek, którym towarzyszę od samego początku trwania ich choroby. Wszystkie te pacjentki zachorowały na SM w wieku dwudziestu kilku lat, czyli będąc dopiero na starcie swojego dorosłego życia rodzinnego i zawodowego” – mówi dr hab. M. Świat.
Pierwsza z pacjentek dr. Świata ma obecnie 48 lat, a pierwsze objawy, w postaci zaburzeń ruchomości gałek ocznych, wystąpiły u niej w 2001 roku. Jednak wówczas nie postawiono u niej diagnozy SM, co stało się dopiero w 2003 roku.
„Ponieważ wtedy nie było jeszcze żadnego ogólnie dostępnego leczenia SM, zakwalifikowaliśmy pacjentkę do badania klinicznego, w ramach którego prawdopodobnie przyjmowała interferon beta-1b. W tym czasie nie miała rzutów choroby, ale po zakończeniu badania klinicznego, w 2007 roku, u pacjentki wystąpiły aż trzy rzuty choroby. W 2008 roku zaszła w ciążę, co spowodowało wyciszenie choroby, następnie zaszła w drugą ciążę, ale niestety po drugiej ciąży, w 2012 roku, nastąpił ponowny, silny rzut choroby, a w rezonansie magnetycznym widoczne były nowe zmiany w mózgu. Widoczne było już także upośledzenie sprawności ruchowej pacjentki. W 2014 roku zostało włączone leczenie octanem glatirameru, czyli jednym z najstarszych leków pierwszoliniowych. Ten lek pacjentka otrzymywała prawie 3 lata, ale gdy zaczęły się kolejne rzuty i zmiany w rezonansie magnetycznym, postanowiliśmy zmienić, w 2017 roku, terapię na kolejny, nieco nowszy, lek pierwszoliniowy. Niestety, i ta zmiana nie przyniosła spodziewanych efektów – występowały kolejne liczne zmiany w rezonansie i kolejne rzuty choroby. Zarówno radiologiczna jak i kliniczna nieskuteczność terapii pozwoliła w 2020 roku, czyli 17 lat po diagnozie, na przejście na leczenie drugoliniowe lekiem okrelizumab. Od tego momentu sytuacja się ustabilizowała, chociaż pacjentka jest już mocno przez chorobę dotknięta. Ma problemy w codziennym funkcjonowaniu i praktycznie nie może kontynuować pracy zawodowej” – opowiada dr hab. Maciej Świat.
Druga z pacjentek doktora także przeszła długą drogę zanim zaczęła otrzymywać skuteczne leczenie drugiej linii. Kobieta ma obecnie 33 lata, a na SM zachorowała w 2011 roku. Choroba rozpoczęła się u niej zaburzeniami czucia, została szybko zdiagnozowana i szybko zostało włączone leczenie z zastosowaniem interferonu. Początkowo terapia przebiegała z dobrym efektem, ale w 2016 roku zaczęły ujawniać się nowe zmiany w rezonansie magnetycznym, co oznaczało częściową nieskuteczność leczenia. Ponieważ zmiany radiologicznie nie były powiązane z rzutami, jedynym co lekarze mogli zaproponować pacjentce, była zmiana terapii na inny lek pierwszoliniowy. Niestety, w rezonansie kontrolnym po roku leczenia tym lekiem widoczne były coraz liczniejsze zmiany w mózgu. U pacjentki zmieniono leczenie na kolejny lek pierwszoliniowy. Nie przyniosło to spodziewanej poprawy – pojawiły się kolejne zmiany rezonansowe i nowe rzuty, i dopiero to pozwoliło na zmianę terapii na lek z drugiej linii. Nastąpiło to w 2019 roku czyli 8 lat po diagnozie. Ta pacjentka również, z powodu choroby, nie jest już aktywna zawodowo.
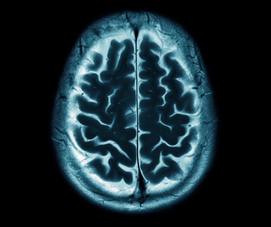
„Trzecia moja pacjentka ma także 33 lata i też zaczęła chorować ponad 10 lat temu czyli w 2012 roku. Po diagnozie zaczęła otrzymywać leczenie interferonem, ale już w pierwszym roku terapii choroba zaczęła się uaktywniać w postaci rzutów i zmian w mózgu widocznych w badaniu rezonansem magnetycznym. To spowodowało, że już w 2014 roku, czyli dwa lata po diagnozie można było włączyć leczenie lekiem drugoliniowym. Paradoksalnie, agresywny przebieg choroby okazał się być >>szczęściem w nieszczęściu<<, bo dzięki temu ta chora mogła szybko otrzymać leczenie wysoko skuteczne lekiem okrelizumab. Ta pacjentka pozostaje aktywna zawodowo i bez przeszkód pracuje. Co więcej, porównując obraz rezonansowy mózgów tych trzech pacjentek, bardzo wyraźnie widać, nawet bez wykonywania pomiarów wolumetrycznych, że im dłużej pacjentka była na leczeniu pierwszoliniowym, a krócej na drugoliniowym, tym objętość mózgu jest mniejsza. Oznacza to, że leczenie wysoko skuteczne hamuje proces zaniku mózgu” – podkreśla dr hab. Maciej Świat. Dla aktywnych zawodowo osób z SM, ważne jest, żeby stosowane leczenie było jak najmniej obciążające i nie wiązało się z koniecznością częstych absencji w pracy, co zapewnia terapia lekiem podawanym raz na pół roku.
To obserwacje z praktyki klinicznej są zgodne z rezultatami licznych analiz statystycznych, porównujących efekty leczenia SM w modelu eskalacyjnym i indukcyjnym. Wynika z nich, że eskalacyjna strategia leczenia jest niekorzystna dla znacznej części pacjentów, bo wdrożenie po diagnozie nieskutecznego lub mało skutecznego leczenia nie zapobiega postępowi choroby i prowadzi do trwałego uszkodzenia centralnego układu nerwowego, a tym samym do nasilania się objawów SM. W ostatnich miesiącach podjęto w Polsce działania, aby niektóre leki o wysokiej skuteczności umieścić w 1. linii. Działania te odpowiadają zmianom, jakie zaszły w strategii leczenia SM na świecie i mają zdecydowane poparcie środowisk medycznych oraz organizacji pacjentów chorujących na SM.
Źródło informacji: Expert PR
